
Centre d'imagerie médicale
OUVERTURE DEBUT 2026
Le Centre d’Imagerie Médicale de Silly est installé au -1 du Centre Médical Medisil.
Un ascenseur est disponible pour les personnes présentant des difficultés de mobilité ou les parents avec poussette.
Le centre réalise, sur prescription médicale et sur rendez-vous, vos examens de radiographie, mammographie, échographie & Doppler.
Une cabine PMR (ou poussette) est disponible pour chaque salle d’examens.
Des variateurs d’intensité lumineuse sont présents dans chaque salle d’examens pour nos patients à besoins spécifiques.
Le rapport de l’examen est transmis au médecin prescripteur le jour de l’examen.
Dr. AOUNI Sarah, radiologue


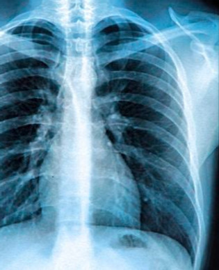
RADIOGRAPHIE
STANDARD
Thorax, gril costal
Abdomen
Colonne vertébrale
Bassin
Membres
Age osseux (pédiatrie)
Crâne, os du nez
Pangonogramme, goniométrie, scaniométrie
La radiographie permet d’analyser les os, les articulations et certains organes comme les poumons à l’aide de rayons X.
Elle permet de diagnostiquer les fractures, l’arthrose, les pneumonies.

ECHOGRAPHIE
&DOPPLER
Thyroïde, cou, visage
Seins
Abdomen (foie, vésicule biliaire, pancréas, rate), aorte abdominale, reins
Pelvis féminin ou masculin, testicules
Membres, paroi thoracique et abdominale
Doppler du foie, Doppler des reins Doppler des carotides, Doppler artériel ou veineux des membres
Echographies pédiatriques (transfontanellaire, pylore, hanche, doppler dermatologique,…)
L’échographie permet d’analyser les organes et les structures à l’aide d’ultrasons.
Pour permettre une transmission optimale de ces ultrasons, du gel d’échographie est placé entre la sonde d’échographie et la peau du patient.
Pour certaines échographies, il est nécessaire d’être à jeun ou d’avoir la vessie remplie. Cette information vous est donnée lors de la prise de rendez-vous.

MAMMOGRAPHIE
Bilan sénologique
Mammographie et/ou échographie, interrogatoire et examen clinique des seins.
Dépistage du cancer du sein chez la femme asymptomatique.
Bilan d’une anomalie du sein chez la femme ou chez l’homme.
Les résultats vous sont expliqués le jour-même.
Mammotest
Dépistage du cancer du sein chez la femme asymptomatique, de 50 à 69 ans.
Sur prescription ou sur invitation du Centre de Coordination et de Référence pour le dépistage des cancers (CCRef).
Les résultats sont transmis à votre médecin traitant ou gynécologue traitant par le CCRef.
La mammographie permet d’analyser les seins à l’aide de rayons X.
La tomosynthèse est une technique de mammographie en 3D.
La mammographie est souvent couplée à une échographie des seins qui utilise les ultrasons.
